来凤县人民医院:再次成功开通CTO血管病变联合IVUS精准治疗
近期,来凤县人民医院心血管内科成功为多支冠脉慢性完全闭塞(CTO)患者开通右冠闭塞血管,同时在冠脉血管内超声(IVUS)指导下,成功植入支架恢复闭塞血管血流,标志着该院冠脉介入水平再上新台阶。
病例回顾
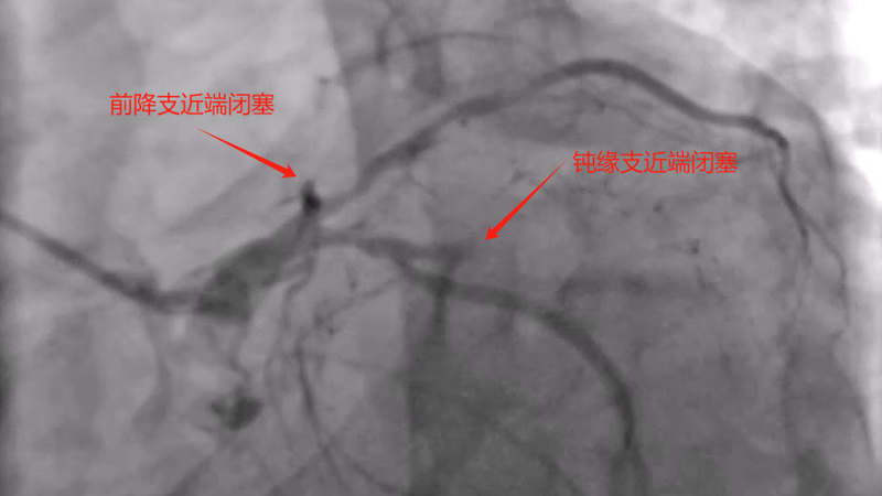
患者王某,男性,61岁,长期抽烟,本次因活动后气促入院,考虑冠心病导致心功能下降所致,经过治疗后,与家属及患者沟通后同意行冠状动脉造影。造影提示前降支、钝缘支及右冠均慢性闭塞,可见小血管侧支循环闭塞血管,冠脉病变极为复杂,获得家属同意后,来凤县人民医院心血管内科介入团队为患者制定了手术方案,先尝试开通右冠闭塞血管,择期尝试开通前降支闭塞及钝缘支闭塞血管。经过接近3小时努力,成功开通患者右冠闭塞血管,并联合IVUS成功植入支架,患者右冠血流恢复正常。



术前

术后
心血管内科主任朱兴彪介绍,“CTO患者的冠脉闭塞时间较长,斑块往往坚硬,或伴有钙化,手术导丝难以顺利通过,且很多闭塞段后续没有明确的血管走行方向,导丝就容易穿过血管内膜甚至穿透血管,所以CTO病变行经皮冠状动脉介入治疗(PCI)的手术难度大、操作时间长、成功率低,因而CTO病变被认为是冠脉介入治疗的‘最后堡垒’。而且该患者多支冠脉慢性闭塞,更是增加了手术的难度及风险。”来凤县人民医院介入室至2021年投入使用,多次安排医务人员去武汉同济医院、武汉亚心总医院、四川华西医院进修学习,心血管内科介入团队始终不忘初心,砥砺前行,坚持钻研前沿技术,不断挑战冠脉严重复杂病变,持续为来凤及周边地区的患者服务,为患者通畅的冠脉、健康的心脏而努力前行。此次CTO成功开通,能显著改善患者预后和提升生活质量,充分显示了来凤县人民医院心血管介入团队PCI技术的日趋成熟,标志着心血管介入团队在冠心病介入诊断治疗领域又前进了一大步。
什么是CTO?
慢性完全闭塞(CTO)病变指冠状动脉造影时病变处于完全闭塞,无前向血流充盈远端血管(侧支循环逆向血流除外),所谓慢性,通常指根据病史或既往造影结果判断闭塞时间>3个月。CTO病变往往因为其PCI操作成功率低及再狭窄率高而被称为介入心脏病学界的“最后一块前沿阵地”或“难点中的难点”。成功开通CTO病变,能够有效改善冠状动脉供血区心肌缺血、复苏冬眠心肌、缓解患者心绞痛症状和改善心功能,极大地提高患者的生活质量。同时,随着技术的不断进步和发展,CTO的介入治疗也变得越来越成熟和安全,成为冠状动脉疾病的重要手段之一。
专家团队

朱兴彪
主治医师
心血管内科/介入室主任
中共党员,主治医师,大学本科,来凤县人民医院心内科、介入室主任。恩施州血液病医疗质量控制中心专家委员会委员、恩施州神经内科学会心源性卒中专业委员会第一届常务委员。
曾多次在“武汉协和医院”、“武汉亚心总医院”进修学习内科及冠脉介入,擅长高血压病诊疗、急慢性心衰诊疗、冠心病 急性心肌梗死危重症抢救、心血管介入、永久/临时心脏起搏器安置等。
文稿作者

甘飞熊
主治医师
来凤县人民医院胸痛中心医疗秘书。
从事冠脉介入3年,尤其擅长远桡动脉穿刺。曾在四川大学华西医院进修冠脉介入1年,期间担任导管室大组长,被评为“优秀进修生”,进修期间独立完成冠脉介入治疗200台左右(其中急诊PCI51台,左主干病变24台,CTO病变14台,室间隔化学消融术2台,冠脉旋磨1台)。
擅长:冠心病,急慢性心力衰竭,心肌病,高血压病,心律失常。






