儿童骨折,“一针搞定”!首例经皮克氏针内固定术
近期来凤县人民医院骨科开展了首例经皮克氏针内固定术。
病例回顾
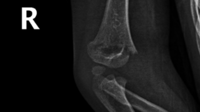
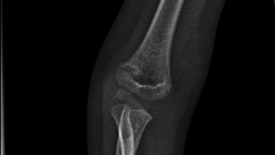
一位4岁小女孩因不慎摔伤导致右肘部肿痛被家长带来我院骨科就诊,经过检查后诊断为“右侧肱骨远端骨折”,因骨折有移位且对位不佳,建议行手术治疗。
“必须要进行手术吗?创伤会不会很大?术后会不会留疤?”女孩父母对此十分担忧。
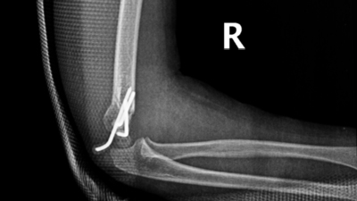
骨外科主任黄超听到家属担忧,说到:“像孩子这种情况,如果放在以前就是开放式手术,手术切口一般超过5cm。我们现在已经常规开展微创手术——经皮克氏针内固定,能够通过小切口解决这个问题,手术各切口一般不超过1cm,出血更少,愈合更快,疤痕更小。”
听完黄主任耐心的解释,孩子父母这才松了一口气,同意手术。


表皮创伤小


骨折部位术前


骨折部位术后
健康小科普
什么是手法复位经皮克氏针内固定术?
这是一种无切口、痛感小的微创治疗方法,手术过程通常不到1小时,经皮打入克氏针,骨折愈合即可取针。这种治疗方法不仅疗程相对较短,并且效果佳,不会留下大的伤疤,患处畸形发生率低。据了解,儿童骨骼与成人存在着巨大的差异,儿童处于持续生长发育的过程,除了关节骨折,大多数骨折复位到不影响正常活动即可,特别是四肢的骨折,尽量不切开复位,采取闭合复位,这样术后小朋友骨折恢复速度就会加快,且对生长发育的影响最小。
同时,儿童由于骨折愈合较成人快,应尽早开始功能锻炼,以肘关节周围骨折为例,髁上骨折3~4周后应用去除石膏或支具进行肘关节功能锻炼,避免发生关节僵硬。
黄超主任提醒广大家长朋友,儿童受伤早就医,及时诊治避问题。
专家团队

黄超
骨科主任
副主任医师
毕业于湖北民族学院临床医学专业,副主任医师,恩施州骨科学会委员,州医学会医疗事故鉴定委员会专家库成员,县残疾鉴定委员会专家成员。
熟练掌握骨科常见疾病的诊断及手术治疗。可熟练开展脊柱骨折,颈椎、腰椎间盘突出及椎管狭窄,脊柱结核,脊柱肿瘤的手术治疗;脊柱微创方面:可开展椎间孔镜,脊柱UBE单侧双通道脊柱内镜技术、椎体成型术,及人工髋关节,膝关节置换术,对于各种复杂创伤的手术治疗有丰富的临床经验。在国家级、省级核心期刊发表论文3篇。

李刚
主治医师
文稿作者
硕士研究生,2023年于武汉大学人民医院进修运动医学半年,擅长颈肩腰腿痛等疾病的诊治,尤为擅长膝关节疼痛的诊治。






