来凤县人民医院胸痛中心再次上演生死时速
2021年12月31日,来凤县人民医院紧急为一34岁中年男性绕行CCU行急诊冠状动脉造影、腔内溶栓术、血栓抽吸术,此项手术的开展,标志着该院为救治急性心肌梗死患者又开辟了一条全新的生命绿色通道,完美体现时间就是心肌,时间就是生命的理念!


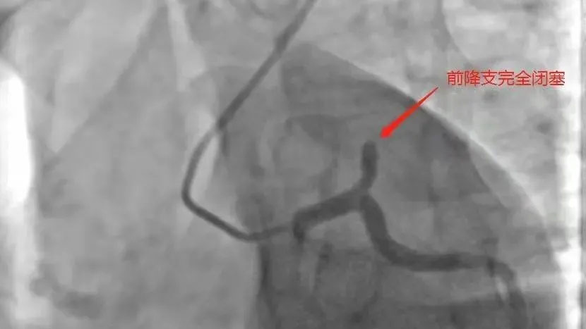
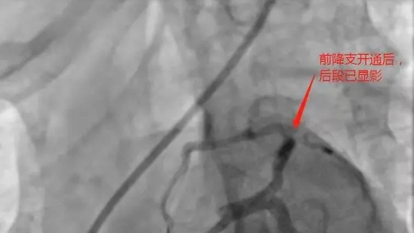
据了解,该患者为34岁男性患者,1年前在上级医院已做过支架植入术,近期反复熬夜及劳累,前段时间已经开始有胸痛症状,因为上过支架没有引起重视,12月31日早上10时许胸痛加重,14:20分进入我院急诊科,急诊科值班医师通过简单询问,14:27分完善首份心电图,考虑广泛前壁心肌梗塞可能,立即上传心电图于来凤县胸痛中心群,心内科值班医师立即建议阿司匹林肠溶片300mg.氯吡格雷600mg,瑞舒伐他汀钙20mg,此时该院常规冠状动脉造影术刚结束,导管室护士正在清理东西准备关闭导管室,心内科朱主任看见上述情况后立即通知导管室做好准备,亲自到急诊科评估患者情况,并电话立即联系副院长兼心内科主任张承中以及刚做完手术回家的恩施慧宜医疗集团张宏伟教授,张宏伟教授了解情况后建议立即开展急诊冠状动脉造影,绕行CCU,直接由急诊科送入导管室,14:50分进入导管室,造影可以看见前降支近端闭塞,原支架内大量血栓堵塞,15:30经球囊扩张后,患者血流有所恢复,因前降支原支架内大量血栓,术中又使用腔内溶栓术、预扩球囊刺破腔内给药、血栓抽吸术等,患者前降支闭塞血管血流恢复,仅用70分钟,为患者开通血管,挽救了患者年轻生命。


来凤县人民医院胸痛中心和各乡镇医院建立了远程网络传输模式,做到了患者未到,信息先到,值班医师或者主任可以随时提供远程诊断和救治的会诊意见,指导救护车或者急救网点医院进行抢救,网上互动交流,实施远程指导,随时随地对信息进行分析、诊断,当患者被送到医院时,各项准备工作已经就绪,极大的增加了急救成功率。随着胸痛中心的建设步伐逐步加快,来凤县人民医院医务人员对胸痛中心工作的理解和认识进一步提高,不断提高了急性胸痛患者的救治水平,为广大群众健康提供了可靠的医疗保障。






