在华中科技大学同济医学院附属同济医院的对口帮扶的契机下,同济医院放射科副主任医师舒红格于1月8日入驻来凤县人民医院影像科,协助影像学科深层次建设。〔全文〕
2024-02-03
2月2日下午,2023年县域医疗技术协作工作总结会在来凤县人民医院召开。县卫健局部分班子成员,县人民医院、县中医医院、县疾控中心、县妇幼保健院、县卫计监督执法局、县精卫中心、县戒毒医院负责人与各乡镇卫生院院长参会,县人民医院党委书记田勇主持会议。 〔全文〕
2024-02-03
2月1日晚,来凤县人民医院召开2023年度年终总结表彰大会暨2024年工作会议。会议对2023年医院工作进行总结,对先进集体和个人进行表彰,并对2024年工作进行全面部署。县人民政府副县长汪玉明、县卫健局局长向文出席会议,县人民医院领导班子成员及各科室未当班人员参会,院党委书记田勇主持会议。〔全文〕
2024-02-02
近日,一位83岁的小细胞肺癌患者在来凤县人民医院肿瘤科接受化疗治疗后,取得了令人瞩目的疗效,为无数患者带来了新的希望。据了解,患者是一位年逾八旬的老人,同时合并高血压,糖尿病等基层疾病。〔全文〕
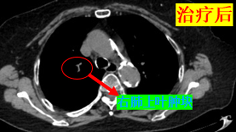
2024-02-01
自2023年5月启动三级医院创建工作以来,来凤县人民医院全院上下本着“以评促建、以评促改”的原则,齐心协力朝着三级医院的目标稳步推进,12月成立攻坚专班小组,设立创建办公室,全面部署创建工作。当前,迎接三级医院创建评审工作已进入冲刺阶段,为检验工作成效,扎实有效推进迎检各项准备工作,1月30日,来凤县人民医院邀请到了湖北民族大学附属民大医院专家组来院开展三创模●●●〔全文〕
2024-01-31
主办单位:来凤县人民医院
Copyright © 2022~2026 www.Laifeng9e.cn & The People's Hospital of Laifeng County All Rights Reserved
鄂ICP备2022000040号-3
鄂公网安备42282702000042号
技术支持
今点科技网站设计 · 版权所有 · 冒仿必究




地址:恩施土家苗族自治州来凤县翔凤镇桂花树瓦尔高