5月3日,来凤县人民医院心血管内科在IVUS指导下成功开展双支架术式-Crush技术,也是县域首例,标志着该院冠脉介入水平再上新台阶。〔全文〕
2024-05-07
4月30日下午,来凤县人民医院心血管内科收获一面来至宣恩县李家河镇夫妇带来的锦旗:“医德高尚暖人心,医术精湛传四方。”近期,来凤县人民医院心血管内科心脏介入治疗团队在副院长张承中、主任朱兴彪带领下,不断突破创新,将过去介入治疗的“禁区”左主干病变、三支复杂病变、CTO病变纳入治疗常规。该例危重病人的成功救治,标志着心血管内科介入团队在极危重心血管疾病的救治领●●●〔全文〕
2024-05-07近期,来凤县人民医院泌尿外科成功引入输尿管软镜负压吸引鞘,并为多名饱受结石困扰的患者实施“负压吸引下输尿管软镜钬激光碎石术”,大大提高了清石率,好评如潮。〔全文〕
2024-05-04
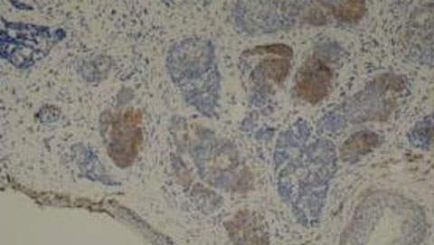
基底细胞癌又称基底细胞上皮瘤,病因不明,多见于头面等暴光部位,临床分为结节溃疡型、表浅型、硬皮病样型、色素型、纤维上皮瘤型。本病案患者为结节型,该型基底细胞癌初期为绿豆大小丘疹或结节,呈肤色或浅褐色,半透明状,随后会缓慢增大,常出现溃疡或糜烂,严重时可破坏周围软组织和骨骼;如果发生淋巴结和远处转移,则中位生存期仅有不到一年的时间。〔全文〕
2024-05-02
为纪念中国共青团成立105周年,迎接第113个国际护士节,进一步弘扬“爱国、进步、民主、科学”的五四精神,建设一支忠诚、担当的职工队伍,进一步展现青年人积极向上的青春风貌,展现医院健康向上的精神风貌。4月29日晚上,来凤县人民医院院工会、院团委、护理部联合举办五四青年节暨5.12国际护士节“爱院·爱家·爱患者”主题活动。〔全文〕
2024-04-30
主办单位:来凤县人民医院
Copyright © 2022~2026 www.Laifeng9e.cn & The People's Hospital of Laifeng County All Rights Reserved
鄂ICP备2022000040号-3
鄂公网安备42282702000042号
技术支持
今点科技网站设计 · 版权所有 · 冒仿必究




地址:恩施土家苗族自治州来凤县翔凤镇桂花树瓦尔高