跨省协作守安康,龙凤携手护“心”脉——来凤、龙山两县人民医院共建胸痛中心
一河之隔,两省相依。为深入推进武陵山龙凤跨省经济协作示范区建设,落实国家胸痛中心建设标准,破解急性心肌梗死患者救治“时间窗”难题,近日,湖北省来凤县人民医院与湖南省龙山县人民医院开启急性ST段抬高型心肌梗死急诊PCI手术跨省合作模式。两地心内科、胸痛中心、急诊科、导管室高效联动、资源共享,为湘鄂边区群众搭建起一条跨省、快速、无缝衔接的生命急救通道。

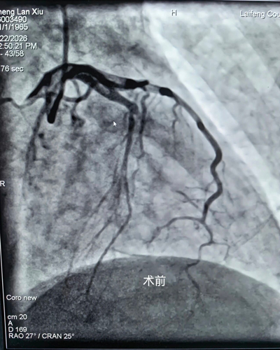
2026年2月22日,龙山县人民医院心内科接诊一名急性胸痛发病12小时患者,心电图诊断为急性广泛前壁心肌梗死,病情十分危重,需要紧急进行冠脉介入手术(PCI)开通血管抢救生命,恰巧导管室占台,龙山县人民医院心内科刘主任果断处理,紧急联系来凤县人民医院心内科朱兴彪主任,接到相关信息后,来凤县人民医院心内科团队立即启动“急性心肌梗死”救治流程及快速激活导管室,实行先诊疗后付费,绕行急诊科和CCU,全程绿色通道直达导管室进行急诊PCI术,手术D2B仅为26分钟,极大程度缩短抢救时间,挽救患者心肌。该患者于3月2日顺利康复出院,后期可在龙山县或来凤县进行门诊随访及治疗。


来凤县与龙山县地缘相近、人缘相亲、山水相连,是全国罕见的跨省毗邻县城。依托两县政府长期合作共建机制,两家县级人民医院立足区域医疗需求,聚焦急性胸痛这一危及生命的急症,以国家胸痛中心建设规范为指引,打破行政区划壁垒,共建区域协同救治体系。
急性ST段抬高型心肌梗死发病急、进展快、死亡率高,救治核心在于“快诊断、快转运、快开通”。患者就近入院后,首诊医院快速完成心电图、心梗标志物等检查,实时共享病例资料;符合急诊PCI指征者,立即启动跨省协同预案,导管室提前备台、团队待命;救护车跨省转运全程护航,实现“患者未到、信息先到、团队先行”;双方心内科介入团队轮流值守、技术互补,确保24小时随时开展急诊介入手术。
通过这一模式,两地心梗患者不再受县域边界限制,就近救治、快速手术、最优获益,最大限度缩短D2B(进门至球囊扩张)时间,有效降低死亡率与致残率。这既是对“时间就是心肌,时间就是生命”理念的生动践行,也是跨省医卫协作从“政策互通”走向“救治直通”的创新突破。
长期以来,来凤县人民医院、龙山县人民医院均高度重视胸痛中心建设,先后通过国家认证,构建起覆盖县、乡、村的胸痛救治网络。此次急诊PCI跨省合作,是两地医疗协作的再升级、再深化,标志着湘鄂边区急性心血管疾病救治进入同质化、一体化、高效化新阶段。下一步,两家医院将以胸痛中心合作为新起点,持续深化学科共建、人才培养、远程会诊、双向转诊等全方位合作,不断完善跨省急救协同体系,把优质医疗资源送到群众家门口,以医者担当守护湘鄂边区人民群众生命健康,为龙凤跨省经济协作示范区高质量发展注入坚实健康保障。






