镜下取险,守护气道!
2025年11月27日,来凤县人民医院呼吸与危重症医学科主任曾圣凯带领医护团队,凭借精湛医术,在支气管镜下为一名喉癌气管切开术后患者成功取出气道异物,化解了一场危急生命的梗阻风险,以专业技艺为患者筑牢呼吸安全防线。

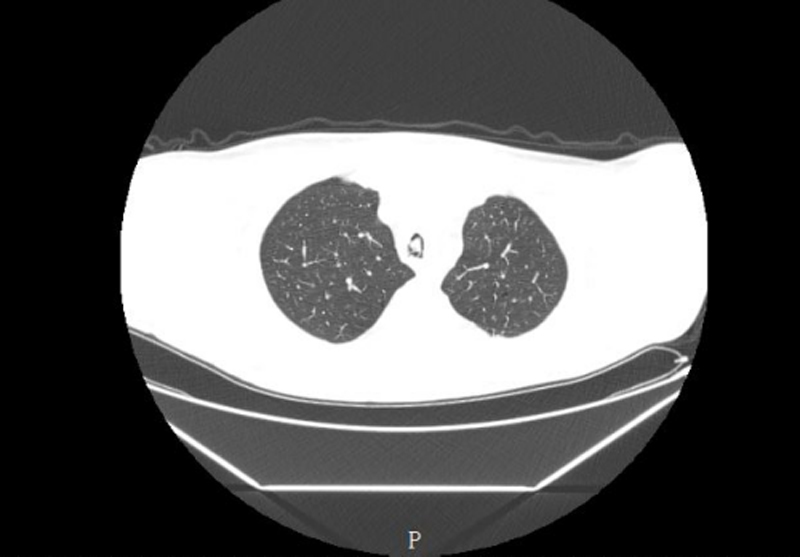
该患者因喉癌接受气管切开术后一月,于放疗期间突发气促、呼吸困难,在外院治疗症状无改善,且气促进行性加重,遂转至我院就诊。急诊胸部CT提示气管内异物可能,患者血氧饱和度持续波动,随时可能因气道阻塞引发窒息、严重呼吸衰竭或肺部感染,生命危在旦夕。由于患者气道结构特殊,异物嵌顿位置深,周围黏膜充血肿胀,手术不仅要求极高的操作精度,还需全程维持患者通气安全,难度与风险远超常规异物取出术。


接到救治任务后,曾主任迅速评估病情,当即启动应急救治预案,决定采用微创气管镜技术行异物取出术。抢救过程中,医护团队分工明确、默契配合。曾主任凭借娴熟的内镜操作技巧,经气管套管精准导入支气管镜,在高清视野下迅速锁定异物位置,巧妙避开充血脆弱的气道黏膜,选用合适异物钳稳健夹持,仅用十余分钟便将异物完整取出。整个操作过程轻柔精准、高效有序,在最大限度减少气道刺激的同时,确保了患者呼吸通畅。

异物取出后,患者咳嗽与呼吸困难症状立即缓解,血氧饱和度回升并稳定在95%以上,生命体征趋于平稳。患者当场竖起大拇指,向医护团队表达由衷感谢,家属亦对医生的精湛医术与团队的悉心照护深表感激。
喉癌气切患者的气道管理是临床护理的重点与难点,气道异物梗阻更是危及生命的急症。气切术后患者易发生异物误吸与梗阻,出院前的细致宣教与注意事项告知尤为重要。此次成功救治,体现了我院呼吸与危重症医学科医护团队高效协作的应急处置能力。作为守护呼吸健康的关键科室,我院呼吸与危重症医学科始终坚持以患者为中心,凭借专业技术和团队默契,为各类呼吸危重症患者筑牢生命防线。我们将继续精进微创介入技术,完善多学科协作机制,为患者提供更加精准、高效、安全的诊疗服务,以医者仁心守护每一次顺畅呼吸。
专家简介







