医生选择放弃手术,患者家属却送来锦旗!
近日,来凤县人民医院骨科收到一面承载着真挚谢意的锦旗。送旗人是一位7岁男孩的父亲,为感谢鲁航甫主治医师团队通过熟练的手法复位技术,为其七岁的儿子成功实施了“零切口”的尺桡骨双骨折治疗,让孩子免于手术之苦。

据了解,该男童在户外玩耍时意外摔伤至左前臂剧痛、变形,在当地卫生院初诊为尺骨与桡骨双骨折,随后转诊至来凤县人民医院就诊。
县人民医院骨科团队对其伤情进行全面评估后,与其家属共同选择了“放弃手术”,以采用手法复位闭合治疗加外固定术为患儿采取保守治疗。医护团队在C臂透视机引导下,凭借丰富经验与娴熟技巧,精准完成骨折端的对位对线,并实施夹板外固定,影像显示,骨折对位对线良好,达到功能复位标准。


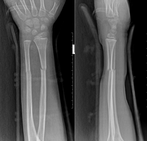
术中复位透视
复位后,医护团队为家属详细指导护理事项,并制定系统复查计划。在随后数周的跟踪随访中,患儿骨折位置维持稳定,未出现移位。直至拆除夹板之日,其左前臂功能已基本恢复,骨骼愈合近乎完美。

复位后X光复查

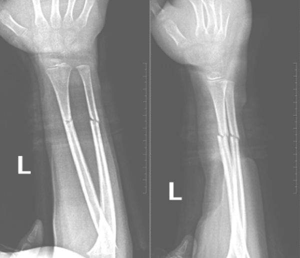
伤后15天复查

伤后25天复查

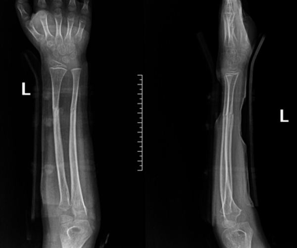
伤后34天复查

伤后48天复查

伤后58天复查
患儿主治医师鲁航甫介绍,儿童骨折与成人不同,其骨骼具有较强的生长与塑形潜力。综合考量患儿年龄、骨折类型及家庭意愿后,医疗团队认为该病例具备保守治疗的有利条件,遂决定采取“零切口”手法复位。该病例的成功,不仅依赖于准确的伤情判断与专业的复位技术,更得益于医患之间的高度信任与密切配合。
“放弃手术”不等于“放弃治疗”,这场看似“冒险”的决策,实际上是医生基于对儿童骨骼生物学特性的深刻理解,权衡了手术利弊之后,为孩子选择的一条创伤更小、风险更低、远期效果可能更好的康复路径。
一面锦旗,承载着患者家属沉甸甸的信任与认可,亦是我院骨科在诊疗探索道路上的温暖注脚,更是杭州市富阳中医院国家级非遗骨伤诊疗技术在我院常态开展的生动实践。我院始终秉持“引进来、用得好”的理念,坚持将先进、适宜的技术与人性化服务相结合,以更优的诊疗方案,用心守护每一位患者的健康。






