一场与时间赛跑的生命接力!县人民医院、中医医院通力合作挽救患者生命
2025年11月14日,一位80多岁高龄患者因突发晕厥被紧急送医,最终确诊为急性心肌梗塞。面对这一极为凶险的病症,来凤县人民医院与中医医院迅速启动协同救援机制,开启绿色通道,组成多学科抢救团队,成功挽救患者生命。
一、中医院——快速诊断与溶栓,打响第一枪
患者因“突发晕厥”被紧急送往县中医院。当时心室率40bpm左右,血压56/32mmHg,中医院急诊科主任龙守权与值班医师唐广西高度警惕,立即完成心电图检查,迅速锁定“急性下壁心肌梗死”。因县中医院无法行急诊PCI(经皮冠状动脉介入治疗),同时患者生命体征又极其不稳定,随时可能死亡,不具备转运条件。对于急性心梗,时间就是心肌,时间就是生命。龙主任果断决策: 立即启动静脉溶栓治疗(3小时内抬高型心肌梗塞溶栓等同于急诊PCI。溶栓是通过药物溶解堵塞冠状动脉的血栓,是恢复血流、挽救濒死心肌的有效方法,尤其是在无法立即进行PCI的医院)。



中医院的溶栓治疗,成功地 “为下一步治疗创造了条件” ,患者生命体征逐渐平稳,心电图逐渐恢复正常。它打通了堵塞的血管,稳定了血栓,降低了远端栓塞风险。最重要的是,为患者安全转运至县人民医院赢得了宝贵的“时间窗”,保住了患者的心功能,降低了死亡率。
二、无缝衔接——院际转运与信息共享
患者在中医院进行溶栓的同时,医生已经通过区域协同救治网络与县人民医院心内科/导管室取得联系。将患者心电图、基本情况、已进行的溶栓治疗等信息实时传输给人民医院的接诊医生。县人民医院立即建立绿色通道,导管室团队迅速就位。救护车直接将患者从中医院送往人民医院的CCU病房。



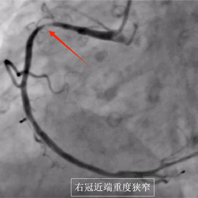
三、人民医院——精准PCI,拆除“炸弹”
县人民医院为患者完善冠状动脉造影,提示前降支慢性闭塞,右冠极重度狭窄,相当于整个心脏供血均受影响,病情极其危险,随时可能再次出现生命危险 ,随后,心血管内科介入团队成功为其右冠快速并精准植入支架,解除患者右冠近端重度狭窄。手术后,患者的症状明显缓解,被安全送至心脏重症监护病房。
此次抢救成功,展现了县域胸痛中心的高效救治能力和医护团队的专业素养。中医院的溶栓像是“化淤”,而县人民医院的PCI介入手术则是“疏通+加固”,从根本上解决了血管狭窄的问题,最大程度地降低了患者未来再发心梗的风险。
11月20日,患者康复出院。“是你们给了我第二次生命,谢谢你们。”患者感激的说道。



目前我县已实现胸痛救治全域覆盖,是深化医药卫生体制改革、推动“健康中国”战略在基层落地的重要成果。未来,县人民医院将继续携手各兄弟单位,以此次成功救治为蓝本,进一步织密、筑牢县域急救防护网。并通过持续强化学科建设、加快人才引进与培养、智慧医院建设,力求让县域居民“大病不出县”。始终恪守“人民至上,生命至上”的誓言,用更高的医疗质量、更暖的服务温度,为全县人民的健康福祉保驾护航。






