咯血不止,生命危在旦夕?血管介入为您保驾护航!
1月5日,来凤县人民医院呼吸与危重症医学科在上级医院专家指导下开展支气管动脉栓塞术,成功救治了一位55岁的咯血男子。该技术为我县首例,填补了我县在肺血管介入医疗技术领域的空白。标志着我院呼吸系统疾病的诊疗技术步入新台阶。

患者王某、男、55岁,因“反复间断咯血3月余”入住我院,曾因间断咯血,多次行止血药物等治疗,但症状仍有反复。此次咯血量大,病情危重,药物治疗效果差,经院内多学科讨论,在湖北民族大学附属民大医院副主任医师万金城、主治医师姚蓬指导下,制定血管介入治疗方案,并顺利完成了支气管动脉造影术+支气管动脉栓塞术,术后患者咯血症状明显好转。

1月6日下午,管床医生查房与患者交流,患者诉:“昨日手术后感觉状态越来越好,也没咯血了,幸亏医生处理及时。”


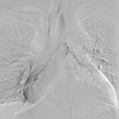
术前 术后


术前 术后
咯血是指喉部或喉以下呼吸道出血,经口腔排出。咯血多由于肺结核、支气管扩张等所导致血管破裂出血,病情危重,发生大咯血可能导致气道阻塞,诱发患者出现窒息而死亡。以往咯血多经药物保守治疗,但是效果差,且病情容易反复。外科手术治疗对身体创伤大,花费多,术后恢复时间长,容易出现各种并发症。支气管动脉栓塞术具有疗效显著、创伤小、安全可靠、术后恢复时间短等优点,为咯血患者提供了一种有效的治疗手段,尤其适用于那些内科治疗无效或存在手术风险的患者。
支气管动脉栓塞术(bronchial artery embolization,BAE)是一种介入治疗方法,主要用于治疗各种原因引起的支气管动脉损害所造成的咯血,同时也可以用于阻断胸部肿瘤的血供以及治疗胸壁窦道的出血?。它通过导管将栓塞剂注入到支气管动脉中,以阻断血流,从而达到治疗目的。
适应症:
1.肺癌患者无肺外转移,原则上应动脉内化疗或与栓塞同时进行。
2.肺结核、支气管扩张、原发性肺癌、肺脓肿、霉菌感染等导致的急性大咯血危及生命者,或反复大量咯血经内科治疗无效者。
3.咯血经手术治疗复发者。
4.对于反复大咯血,药物治疗无效且不符合手术指征或拒绝手术的患者,支气管动脉栓塞术是理想的选择。
5.需要手术治疗但暂不具备手术条件,需要先控制出血的患者。
禁忌症:
1.碘过敏,以及严重的心、肺、肝、肾功能障碍者。
2.靶动脉与脊髓动脉交通,栓塞可能导致脊髓损伤者。
3.导管不能深入支气管动脉,栓塞时可能发生栓子返流入主动脉,造成异位栓塞者。
4.存在严重出血倾向或未能控制的全身感染者。
呼吸与危重症医学科
来凤县人民医院呼吸与危重症医学科医护人员一切从病人出发,为患者健康平安保驾护航。
【门诊部】来凤县人民医院爱心楼三楼(周一/三/四)
【住院部】来凤县人民医院爱心楼九楼
【24小时服务电话】0718-6291970/6291967

田言辉
呼吸与危重症医学科名誉主任·副主任医师
1999年毕业于湖北中医药大学,于来凤县人民医院从事临床工作至今,先后于湖北省人民医院、武汉同济医院进修。擅长呼吸内科常见病、危重病的诊治。熟练掌握纤支镜治疗技术。目前为恩施州呼吸内科学会常委,恩施州介入呼吸学会委员。

曾圣凯
呼吸与危重症医学科副主任·副主任医师
恩施州呼吸病学会委员。先后在武汉大学人民医院、华中科技大学同济医学院附属梨园医院进修学习呼吸内科,积累了较丰富的临床经验,擅长中西医结合诊疗慢性阻塞性肺疾病、重症哮喘、重症肺炎、肺部肿瘤、肺栓塞、肺血管疾病、间质性肺病、呼吸衰竭。擅长电子纤支镜检查及镜下治疗、肺功能检查使用。






