甘医生工作手记-锦旗背后的那些医患故事
2024年12月5日,一面写有“医德双馨妙手回春,医术精湛尽心尽责”的锦旗被患者送到了来凤县人民医院心血管内科。复盘这个病例,还得从2024年10月29日说起……
故事背景
吴某,男性,58岁,凌晨因胸痛至来凤县人民医院胸痛中心就诊,当时确诊为急性非ST段抬高型心肌梗塞……
甘医生の手记
我和老吴的第一次见面是10月29日的科室大查房,他看起来面色略苍白,眼神无光,情绪很激动,整个人表现出烦躁、不安、期望以及对未知的恐惧。经过管床医生蒋涵介绍病史,让我对老吴又有了进一步认识,老吴10多天前刚因为消化道出血从消化内科出院,既往10多年前有过心肌梗死,同时又有痛风、慢性肾功能不全等病史,口服有多种药物。多次在我院就诊治疗,1年前胃镜提示有胃溃疡病史,病痛折磨了10多年,让一位朴实的汉子变成了一座随时可能爆发的火山,一点就爆。我给老吴做了详细的体格检查,同他聊了一些家常,知道他家里只有一个女儿,即将临产,也说了一些他目前面临的困难,我终于知道他为什么这么焦虑。请示朱兴彪主任后决定先做一个造影再决定下一步怎么治疗。
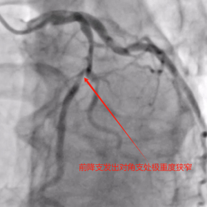
造影可见:前降支中段发出对角支后极重度狭窄,可见侧支循环右冠中远端,回旋支发出钝缘支后闭塞,可见钝缘支侧支循环回旋支远端;右冠中段闭塞。
造影结果比我预想的结果要更差,目前只有一根主血管在维持老吴的生命,情况很棘手,因为近期有过消化道出血情况,术中紧急会诊后,及时与家属沟通,综合评定后再行下一步治疗。手术下台时我给老吴简单的说了一下目前情况,老吴也同意了。




结束一天手术,回到科室,就听护士们在说,12床的吴伯伯,在病房里骂人。心想:白天做造影都还好好的,也给老吴及家属都交代了目前情况,怎么突然就冒火了呢?再次来到病房看老吴,还在病房过道就听见老吴在抱怨:“都说要搞,要搞,结果做了又没搞,下次不知道又要等到什么时候。”在门口我整理了一下情绪,进到病房,看见老吴满面愁容,很激动,情绪很不稳定。从老吴的角度出发,了解到情况后才知道,原来老吴真正发火的原因是隔壁床的病人直接做了支架,明天可能就要出院了。
原来问题在这里!这真是秀才遇到兵,有理说不清。我耐着性子再次向老吴解释,目前他的情况比较特殊,首选建议是去做心脏冠脉搭桥,一次解决所有问题。我又把我的笔记本电脑带到了床边,结合影像给他指出他现在冠脉血管病变的复杂性及特殊性,嘱咐他最近一定不要发脾气,避免血管突发加重而没有机会手术,也告知为什么需要准备充分后再次手术原因:
第一因近期有消化道出血病史,盲目冠脉介入手术,很可能出现消化道再出血甚至面临大失血可能;第二目前抗血小板药物不充分,处理“犯罪血管”—前降支,需要面临支架内在闭塞风险,这根血管不容有失,一旦它发生意外很可能没有二次上台的机会。
这个50多岁的粗犷汉子沉默了几秒,然后用带着希冀的目光看着我,告诉我:“我不去搭桥,我就要在来凤做,我死也要死在来凤!”看着他希冀的目光,我知道这个粗犷的汉子是多么希望医生把他的病治好,只是他不善于表达,通过另类方式吸引大家的注意。
我靠近床边,握着他那双磨出老茧的大手:“老吴,谢谢你的信任,请你给我们一点时间,需要组织一个全院会诊,希望不仅把你的病治好,而且要把风险尽量降到最低,这段时间你配合好好吃药,我也观察一下你口服双联抗血小板聚集药物后消化道会不会再出血。”老吴表示“我就相信你们,肯定积极配合!”
多学科会诊
“术前加强护胃,加用双联抗血小板聚集后消化道情况,术后出现消化道出血情况,可以保障做急诊内镜下止血,需警惕糜烂性出血无法止血情况;”
“术后如内镜下无法止血,可开腹止血,做好术后转重症监护室进一步输血及观察准备;”
“术前做好备血准备,科内备好急诊转科床位;”
“痛风情况待胃部有所缓解后加用秋水仙碱抗炎处理,肾功能异常注意术中控制造影剂用量,术后复查肾功能,警惕肾功能进一步恶化……”
在张承中副院长主持的MDT多学科专业会诊中,重症医学科、消化内科、普胸外科、肾病风湿免疫科等专家联合制定了周密的诊疗方案。


多学科会诊
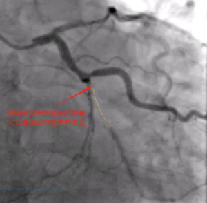
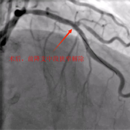
11月5日,患者各方面情况相对稳定,口服双联抗血小板聚集药物消化道反应也无异常。综合评估后再次为患者行冠脉介入治疗。术前我把老吴左右手都消毒了,左手备用,可能需要双侧造影辅助开通右冠。术中顺利开通右冠闭塞血管并植入支架恢复正常血流,同期解决前降支极重度狭窄病变并植入支架解除危机。手术总用时1小时40分钟,造影剂用量120ml,手术很顺利,比预想的效果要好,已经超预期完成。




第二次手术后,老吴没有再出现胸痛、腹痛情况,生活感觉又回到了从前,老吴脸上的笑容也越来越多了。
在家修养一段时间后,老吴再次来到了我科,要求把最后闭塞的回旋支开通。虽然我和老吴已经建立了很好的医患信任关系,但我还是不得不给他泼一桶冷水,这次的回旋支闭塞,不知道闭塞了多久,也就是我们称呼的CTO,我也不能保证能开通。
CTO小知识
CTO患者的冠脉闭塞时间较长,斑块往往坚硬,或伴有钙化,手术导丝难以顺利通过,且很多闭塞段后续没有明确的血管走行方向,导丝就容易穿过血管内膜甚至穿透血管,所以CTO病变行经皮冠状动脉介入治疗(PCI)的手术难度大、操作时间长、成功率低,因而CTO病变被认为是冠脉介入治疗的‘最后堡垒’。
“相信你们的技术,你们大胆搞!”老吴说。
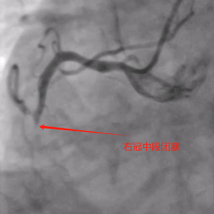
12月3日,老吴第三次进入导管室,这次老吴很轻松,和我还有说有笑,而我却承受了比上次更大的压力,因为老吴是带着肯定而来,带着信任而来。结果左侧造影回旋支远端的同侧逆向供应血流消失了,不得不穿刺左手进行右冠造影为左冠回旋支导丝前进提供方向,皇天不负有心人,经过重重困难最终再次顺利开通了闭塞的回旋支,这一刻如释重负,汗水打湿了衣物,浸透了铅衣!


今日老吴出院了,带着开心,带着自信,带着“医德双馨妙手回春,医术精湛尽心尽责”的锦旗来了。老吴说:“由衷感谢心血管内科全体医护人员,是你们高超的技术,精心的治疗,给了我第二次生命”。
其实我们更应该感谢老吴、感谢所有信任我们的患者!

锦旗上的字字句句都表达着老吴的真情,承载着他对我们工作的肯定与认可,患者的信任是动力更是压力,激励我们不忘初心、砥砺前行!






