得到湖北胸痛中心联盟认可,我院复杂病变救治水平再上新台阶!

2024年11月5日,来凤县人民医院心血管内科介入团队成功为一例急性非ST段抬高型心肌梗塞合并多种系统疾病患者完成冠脉支架植入术,得到湖北省胸痛中心联盟认可,标志着我院复杂病变救治水平再上新台阶。
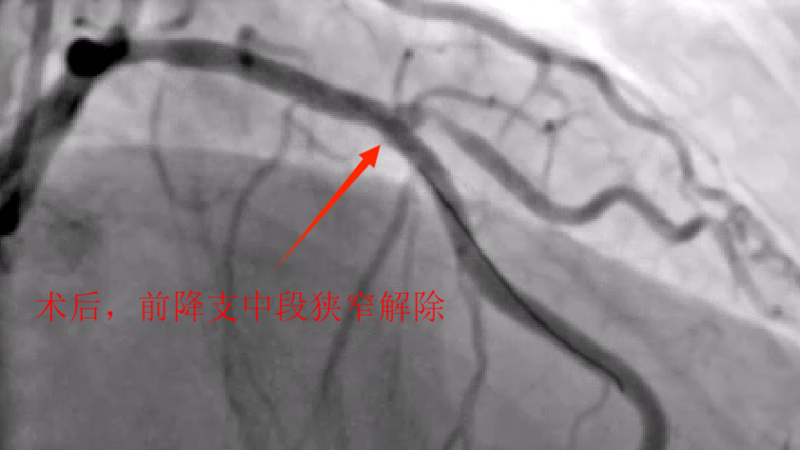
据了解,吴某,男性,58岁,因胸痛就诊,确诊为急性非ST段抬高型心肌梗塞,10多天前有过消化道出血情况,既往有心肌梗塞、痛风、慢性肾功能不全等病史,1年前胃镜提示有胃溃疡病史,口服有多种药物,考虑患者病情危重及复杂,心血管内科介入团队经过讨论后先行冠脉造影后再决定下一步诊疗策略,造影可见:前降支中段发出对角支后极重度狭窄,可见侧支循环右冠中远端,回旋支发出钝缘支后闭塞,可见钝缘支侧支循环回旋支远端;右冠中段闭塞。




患者冠脉病变极其复杂,同时近期又有消化道出血情况,结合心电图考虑本次冠脉犯罪血管为前降支,急诊处理犯罪血管需面临术中高危猝死及术后消化道出血致死可能,不处理又面临冠脉病变加重致死可能,目前最佳治疗方案是行外科冠脉搭桥术。家属商议拒绝外科搭桥,要求行冠脉介入治疗,此病变极度高危复杂,为此心血管内科组织多学科讨论,请重症医学科、消化内科、普胸外科、肾病风湿免疫科一起对患者各方面情况进行综合评估,争取一线生机,并做好术中术后各方面抢救措施。


经过医护人员精心照顾及治疗,患者各方面情况相对稳定,11月5日心血管内科介入团队再次为患者行冠脉介入治疗。并顺利开通右冠闭塞血管并植入支架恢复正常血流,同期解决前降支极重度狭窄病变并植入支架解除危机。手术总用时1小时40分钟,造影剂用量120ml。


患者术后恢复良好,拟于近日出院。在本次救治事件中,面对病情如此复杂棘手的危急重症患者,我院各科室医护人员反映迅速、配合密切、技术娴熟,展现出了强大的团队协作能力和专业水平能力。这场“实战”的顺利完成依赖于我院对于多学科诊疗在优化急救模式,完善救治流程,统一诊疗规范中的一次次科学改进和思考,是对我院医疗救治水平能力的有效检验。目前,医院发挥多学科联合诊疗作用,坚持以患者为中心,聚合内科、外科、医技等多学科医疗专家团队对病情复杂的患者情况进行共同研究讨论,及时快速地形成定制化、科学化、合理化、规范化的诊疗方案,有效打破了学科间的壁垒,最大程度上提高了患者救治效率、预后效果,避免患者重复就医。今后来凤县人民医院将继续完善MDT多学科诊疗,不断优化对于疑难重症患者的诊疗路径及综合诊疗方案,凝聚多学科智慧,解决患者之忧虑,全力保障患者安全,提升就医体验,达到1+1大于2的效果,将服务人民群众,践行健康中国战略落到实处。
专家团队

朱兴彪
心血管内科/介入室主任
中共党员,主治医师,大学本科,来凤县人民医院心内科、介入室主任。恩施州血液病医疗质量控制中心专家委员会委员、恩施州神经内科学会心源性卒中专业委员会第一届常务委员。
曾多次在“武汉协和医院”、“武汉亚心总医院”进修学习内科及冠脉介入,擅长高血压病诊疗、急慢性心衰诊疗、冠心病 急性心肌梗死危重症抢救、心血管介入、永久/临时心脏起搏器安置等。
文稿作者

甘飞熊
心血管内科/介入室主任助理
来凤县人民医院胸痛中心医疗秘书。
恩施州土家族苗族自治州神经内科学会心源性卒中专业委员会第一届委员会委员。
恩施州医学会脑心同治分会高血压介入委员会第一届委员会委员。
恩施州心血管代谢联盟委员。
从事冠脉介入3年,尤其擅长远桡动脉穿刺,成功率达90%以上。曾在四川大学华西医院进修冠脉介入1年,期间担任导管室大组长,被评为“优秀进修生”。
擅长:冠心病,急慢性心力衰竭,心肌病,高血压病,心律失常。






