生死竞速!六旬男子急性心梗并发“电风暴”
近日,患者罗某某及家属专程将一面写着“医术精湛 医德高尚,救命之恩,终生难忘;一切为了人民,你们做到了”的锦旗送至来凤县人民医院心内科,感谢医院胸痛急救团队将其从死亡线上拉了回来。

该患者1月前因急性前壁心肌梗死后频发室颤“电风暴”,命悬一线,我院心内科、ICU、急诊科、功能科、影像科等医护人员全力施救,为他进行了持续有效的胸外按压、25次的电除颤、同时紧急开通闭塞的前降支,终于挽回了他的生命。
抢救现场
患者于2023年09月13日11:00左右突发胸前区剧烈闷痛不适,伴大汗淋漓。
11:25,到达我院,一场时间与生命的赛跑就此拉开帷幕。
11:27,急诊科医师接诊
11:32,完善心电图提示急性前壁心肌梗死

11:34,行心梗三项检测,同时行胸部CT排除主动脉夹层
11:37,给予“心梗一包药”口服
11:38,行普通肝素4000u静脉注射
11:45,行TNK16mg静脉溶栓,溶栓后评估血管再通,拟行急诊冠脉造影评估。
再生波澜
14:30,患者再次出现剧烈胸痛,查心电图提示前壁导联ST段再次抬高,立即行急诊上台行介入治疗。
14:49,患者进入导管室
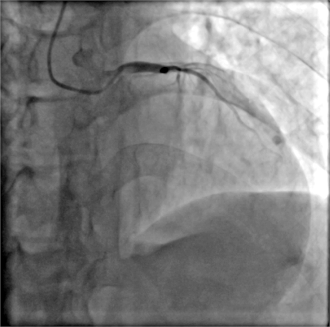
15:03,冠脉造影提示LAD近段闭塞,准备介入开通闭塞血管
15:08,突发意识丧失,心电监护显示室颤
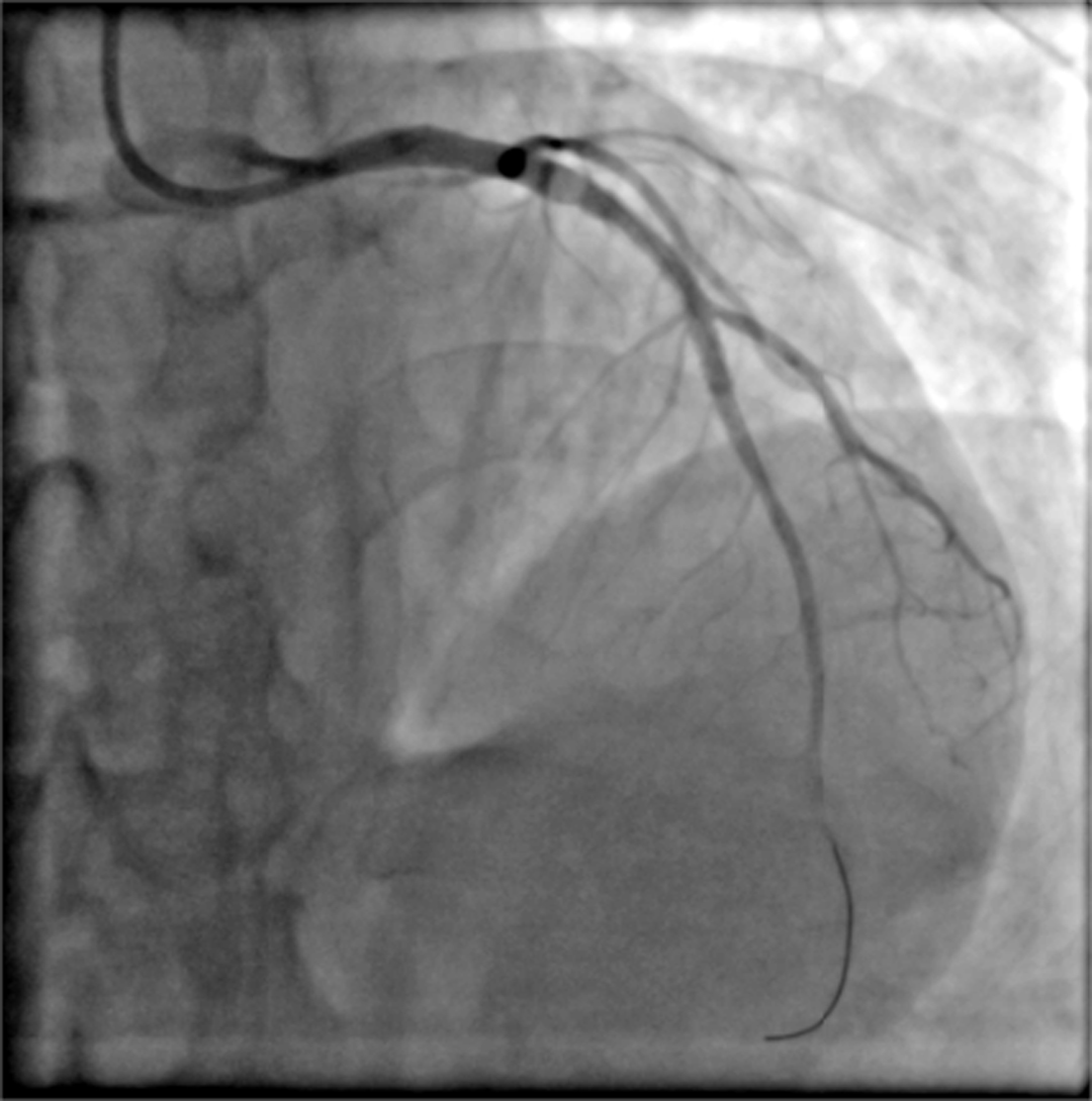
“准备除颤!继续心脏胸外按压!”心内科主任朱兴彪镇定地展开抢救,同时ICU行气管插管,维持患者生命体征。电除颤成功,但紧接着,室颤“电风暴”又来了,1次、2次、3次……大家都清醒的认识到,只有打通闭塞的血管,才能解决根本问题。在所有人的不懈努力下,前后历经25次电击除颤,最终开通闭塞血管并置入支架两枚,患者心率及血压逐渐恢复平稳,终于把患者从“鬼门关”拉了回来。

术中心电监测

术前

术后
术后,患者安稳转运至ICU,在医护人员的精心护理下,于09月20日康复出院。1月后,患者再次来我院心内科复诊,经复查支架情况良好,各项指标正常。
此次成功救治,是对我院胸痛急救团队多学科协作能力的有效检验,时间就是心肌、时间就是生命,从接诊胸痛病人的那一刻起,每一个时段,每一个节点都在与时间赛跑,与生命赛跑。患者及家属回忆起当时惊险的过程,仍历历在目,“感谢医生护士在危急关头的全力救治,是你们不离不弃地坚守让我重获新生!”
来凤县人民医院高度重视胸痛中心建设,今年初,与湖北民族大学附属民大医院心血管内科建立一对一帮扶机制,民大医院心内科主任张长江教授每月定期来院开展教学查房、手术指导等工作。注重多科联合,建立起一支高效率、高质量、高水平的胸痛急救团队,不断优化胸痛抢救流程,实现院前院内救治通道的无缝衔接,极大提升了急性心梗等危重症患者的救治能力。
专家团队

张长江 民大医院心血管内科主任
医学博士 主任医师 教授硕士生导师
擅长冠脉介入、起搏器治疗、心律失常射频消融术等临床诊疗工作。参与国家“973计划”研究1项、国自然课题1项,主持湖北省级科研课题1项、恩施州科研课题1项;先后发表SCI论文12篇,在国家级、省级杂志发表核心期刊论文10余篇;出版专著2部;恩施地区首批通过全国冠脉介入资质考试人员。
每周到我院开展诊疗活动,可提前预约。

张承中 副院长 大内科主任 主任医师
擅长心血管疾病:冠心病、高血压、心力衰竭、心律失常、心肌病等危急重症的诊治,冠脉介入治疗。

朱兴彪 心血管内科/介入室主任 主治医师
擅长高血压病诊疗、急慢性心衰诊疗、冠心病 急性心肌梗死危重症抢救、心血管介入、永久/临时心脏起搏器安置等。
来凤县人民医院心血管内科
咨询电话:0718-6271703






