来凤县人民医院:两科荣获同一患者赠送“三八”特殊礼物
3月8日上午9点,医护人员步伐不停,有条不紊地忙碌着日常工作,此时,一份特殊的礼物分别送到了来凤县人民医院呼吸与危重症医学科、重症医学科(ICU)。

“感谢各位医生护士们住院期间的悉心照料,如果没有你们,这一关我肯定挺不过来了。”原来,是一位康复患者分别为两个科室送来了两面锦旗。
去年12月,身患高血压的童阿姨因反复咳嗽咳痰、呼吸困难5天,输液治疗未见好转来到我院治疗,入住呼吸与危重症医学科。检查结果为新冠病毒核酸阳性,胸部CT显示存在严重肺部感染(俗称“大白肺”),病情极其危重。
情况紧急,经呼吸与危重症医学科、ICU专家联合会诊后为童阿姨制定了最佳治疗方案,决定立即转入重症医学科高级生命支持治疗,给予抗病毒、抗炎、增强免疫、呼吸机支持等治疗。

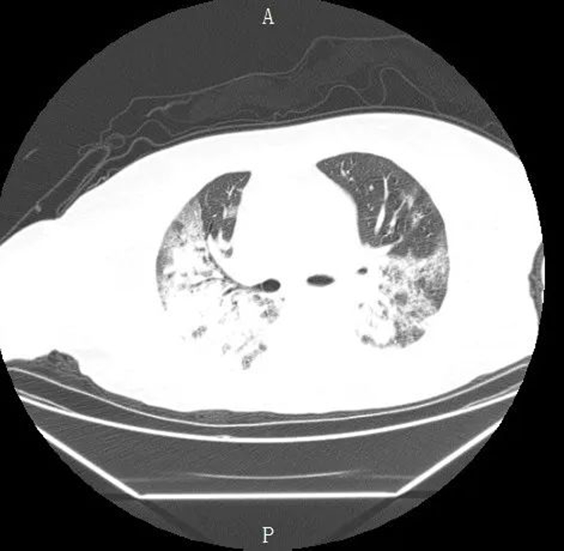
入院检查时存在严重肺部感染

病情稳定后白色感染明显吸收
经过呼吸内科与重症医学科、ICU的共同努力,童阿姨终于转危为安,病情稳定后,转入呼吸内科与重症医学科继续巩固治疗,此时复查肺部CT显示白色感染明显吸收。
童阿姨住院期间,医护人员每天都会鼓励她积极配合治疗,给予了童阿姨战胜病毒的信心。在两科室医护的共同努力下,在患者和家属的积极配合下,童阿姨于今年1月12日康复出院。
这份礼物是对医护人员崇高医德、精湛医技、细致服务的认可,更是给予白衣战士们的最好嘉奖。来凤县人民医院全体医护将牢记初心使命,继续为人民群众提供更加优质安全的健康服务,用爱心、诚心、细心、耐心,换来患者的舒心、放心、安心。






